Unlocking the Secrets of Aging: How a Cell Death Pathway Component Weakens Our Blood and Immune Systems

As the human body navigates the inevitable passage of time, a fundamental aspect of its resilience begins to wane: the blood and immune systems. This gradual erosion of strength is intrinsically linked to the diminished efficacy of hematopoietic stem cells (HSCs), the linchpin of all blood cell production. In youth, these remarkable cells possess an innate capacity for self-renewal, diligently maintaining a balanced and robust output of red blood cells, white blood cells, and platelets. However, with age, this vital process falters. HSCs become less efficient at generating new cells, exhibit a skewed preference for producing certain lineages, such as myeloid cells, over others, like lymphoid cells, and consequently, their ability to mount a formidable immune response is compromised. This decline underpins a cascade of age-related health challenges, from increased susceptibility to infections to a reduced capacity for healing and recovery.
The intricate mechanisms driving this age-related decline in HSCs are multifaceted, encompassing accumulated cellular damage, epigenetic alterations that reprogram gene activity, persistent low-grade inflammation, and subtle yet significant shifts within the bone marrow microenvironment. For years, scientists have grappled with understanding how these diverse stressors converge to impair the crucial functions of these stem cells. Now, a groundbreaking study, published in the esteemed journal Nature Communications on April 6, 2026, has illuminated a surprising new player in this complex aging narrative: a component typically associated with programmed cell death.
Investigating a Key Aging Pathway: The RIPK3-MLKL Axis
Researchers from two leading institutions, The University of Tokyo in Japan and St. Jude Children’s Research Hospital in the United States, embarked on a meticulous investigation to unravel the intricate ways in which age-related stress impacts HSCs. Their focus converged on a specific molecular signaling pathway known as the receptor-interacting protein kinase 3 (RIPK3)-mixed lineage kinase like (MLKL) axis. This pathway is primarily recognized for its role in necroptosis, a highly regulated form of programmed cell death that occurs when apoptosis, another cell death pathway, is blocked.
The collaborative effort was spearheaded by Dr. Masayuki Yamashita, an Assistant Member at St. Jude Children’s Research Hospital, who at the time of the investigation held the position of Assistant Professor at The Institute of Medical Science, The University of Tokyo. Contributing significantly to the research were Dr. Atsushi Iwama from The Institute of Medical Science, The University of Tokyo, and Dr. Yuta Yamada from St. Jude Children’s Research Hospital, who was a graduate student at The Institute of Medical Science, The University of Tokyo during the study. Their combined expertise and dedication have yielded insights that could fundamentally alter our understanding of aging.
A Surprising Discovery About MLKL’s Non-Lethal Role
The genesis of this transformative research stemmed from an unexpected observation. Dr. Yamashita recounts the pivotal moment: "We discovered an unexpected phenotype in HSCs of MLKL-knockout mice repeatedly treated with 5-fluorouracil, where aging-associated functional changes were markedly attenuated despite no detectable difference in HSC death, prompting us to investigate whether this pathway might induce functional changes beyond cell death."
This initial finding was profoundly significant. It suggested that MLKL, a protein integral to a cell death pathway, might be influencing the aging process of stem cells without actually triggering their demise. This paradigm-shifting hypothesis became the central tenet of their extensive investigation, guiding their experimental design and analysis. The study’s implications extend beyond the immediate findings, potentially offering new avenues for therapeutic interventions against age-related diseases.
Methodological Rigor: Testing the Mechanism with Precision
To rigorously test their hypothesis, the research team employed a sophisticated array of experimental models and cutting-edge techniques. They utilized genetically engineered mice, including wild-type (control) animals, and mice specifically deficient in either MLKL or RIPK3. Furthermore, they developed specialized reporter mice equipped with a Förster resonance energy transfer (FRET)-based biosensor, meticulously designed to detect and quantify MLKL activation within living cells.
The experimental design mimicked common stressors encountered during aging. The mice were subjected to conditions that recapitulate the cellular insults of chronic inflammation, replication stress (damage to DNA during cell division), and oncogenic stress (the cellular changes that can lead to cancer). The functional capacity of the HSCs was primarily assessed through bone marrow transplantation experiments. This gold-standard technique evaluates the ability of transplanted stem cells to repopulate the blood system, serving as a direct measure of their regenerative potential.
Complementing these functional assays, the researchers employed a suite of advanced molecular and cellular biology tools. Flow cytometry provided detailed analysis of cell populations. Ex vivo expansion allowed for the study of HSCs outside the body. RNA sequencing (RNA-seq) offered a comprehensive look at gene expression profiles, while assay for transposase-accessible chromatin using sequencing (ATAC-seq) revealed insights into the accessibility of DNA, indicative of gene regulatory activity. High-resolution imaging allowed for detailed visualization of cellular structures, metabolic testing provided information on cellular energy production, and meticulous studies of mitochondria, the powerhouses of the cell, were conducted. This multi-pronged approach enabled a holistic examination of MLKL’s influence on HSCs at various levels of biological organization.
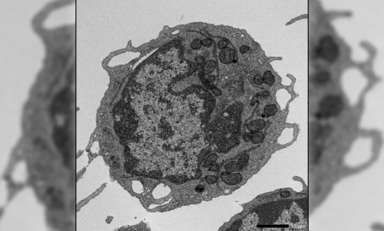
Mitochondrial Damage Without Cell Death: A Novel Mechanism Revealed
The results of these extensive experiments unveiled a previously unrecognized role for MLKL in the intricate process of stem cell aging. Contrary to its established function in inducing cell death, the activation of MLKL within HSCs under stress did not lead to increased cell death or a reduction in the overall number of stem cells. Instead, MLKL exerted its influence through a subtler, yet profoundly impactful, mechanism.
When activated in response to cellular stress, MLKL exhibited a transient translocation to the mitochondria. Within these critical energy-generating organelles, MLKL instigated damage. This damage manifested as a decrease in mitochondrial membrane potential, alterations in mitochondrial structure, and a significant reduction in cellular energy production. These mitochondrial dysfunctions, in turn, directly contributed to hallmark characteristics of aging in HSCs. The stem cells displayed a diminished capacity for self-renewal, a reduced output of lymphoid cells essential for adaptive immunity, and a pronounced skewing towards the production of myeloid cells, which are often associated with inflammation. This finding represents a significant departure from the canonical understanding of MLKL’s function, highlighting its potential as a modulator of cellular function beyond its role in cell demise.
Blocking MLKL Preserves Stem Cell Function: A Therapeutic Promise
The implications of these findings were further underscored when the researchers investigated the effects of removing or inactivating MLKL. In experiments where MLKL was genetically ablated or functionally inhibited, many of the age-associated detrimental effects on HSCs were significantly ameliorated. HSCs lacking MLKL demonstrated a preserved ability to regenerate the blood system, produced a healthier profile of immune cells, exhibited less DNA damage, and maintained superior mitochondrial function. These protective benefits were observed even in aged animals or when the cells were subjected to stressful conditions that would normally accelerate aging.
Crucially, these observed improvements in stem cell function occurred without substantial alterations in global gene expression patterns or chromatin accessibility. This observation is particularly noteworthy, suggesting that MLKL’s influence on aging operates at a post-transcriptional or post-translational level, directly impacting cellular structures and their functions, rather than through fundamental changes in DNA regulation or chronic inflammatory signaling. This discovery opens new avenues for therapeutic intervention that target these downstream effects.
Implications for Aging and Future Therapies: A New Frontier
The findings from this comprehensive study point towards a unifying pathway that bridges diverse cellular stressors to mitochondrial dysfunction and, ultimately, to stem cell aging. By identifying MLKL as a pivotal link in this chain, the research provides a crucial new perspective on how the aging process compromises the integrity and functionality of the blood system.
Dr. Yamashita articulated the long-term vision stemming from this discovery: "In the longer term, this research could lead to therapies that preserve the function of hematopoietic stem cells, ultimately improving recovery and long-term health for patients undergoing chemotherapy, radiation, or transplantation. By revealing how non-lethal activation of cell-death pathways drives stem cell aging, these findings may inspire new classes of mitochondrial-protective or necroptosis-modulating drugs."
The potential therapeutic applications are vast. For individuals undergoing treatments like chemotherapy or radiation therapy, which can severely damage HSCs, interventions that target MLKL could significantly enhance their ability to recover and rebuild their blood and immune systems. Similarly, for patients undergoing stem cell transplantation, preserving the viability and function of donor HSCs is paramount for successful engraftment and long-term health.
Furthermore, this research has profound implications for the broader field of aging research. By demystifying how cellular stress, even at sub-lethal levels, can contribute to age-related decline, it opens the door to developing interventions that target specific molecular pathways to slow down or even reverse aspects of aging. The discovery of MLKL’s non-lethal role in aging challenges long-held assumptions about the function of proteins associated with programmed cell death and offers a novel framework for understanding and combating age-related diseases.
A Paradigm Shift in Stem Cell Aging Research
In summation, this seminal study conclusively demonstrates that MLKL plays a critical role in stem cell aging, not by causing cell death, but by acting as a stress-responsive mediator that damages mitochondria and progressively weakens HSC function over time. This discovery fundamentally alters our understanding of necroptosis-related proteins and their multifaceted roles within the cell. It presents exciting new possibilities for developing strategies to mitigate or prevent the age-related decline observed in the blood and immune systems, paving the way for enhanced healthspan and a more robust aging process. The meticulous research conducted by the University of Tokyo and St. Jude Children’s Research Hospital represents a significant leap forward, offering hope for future therapeutic interventions that could profoundly impact human health as we age.







